| 元に戻る | ||
|
||
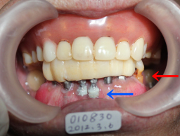
| 91才で44、45にインプラント 2012年03月06日撮影(92才) 術後約6ヶ月 非喫煙者 |
||
![]() |
上記のインプラント部分を拡大 高齢で歯磨きが上手に出来ないので 歯垢(プラーク)が歯やインプラント部分に 付着。 |
|
| 同部分をきれいに磨いてやると 金属色のインプラントがきれいに見えます。 インプラント部分の歯ぐきに炎症なし。 |
||
| インプラント植立後4年10カ月後 高齢のため最終補綴を入れずにTEK(仮歯)のままです。 仮歯で状態がよければ2〜10年は持ちます。 壊れた時に最終補物を入れるか再度TEKを作ります。 2016年01月09日撮影(96才) どんなにプラークがついてもインプラント周囲炎は起こりません。 |
||
|
||
| 一般的なインプラントは、骨との結合を 高める(表面積を大きくする)ため、 インプラント本体の部分にミクロの凸凹や 薬剤等を貼り付けてあります。 |
下記は天然の歯の表面の顕微鏡写真です。 歯の表面は、つるつるしているしているように 見えますが表面にミクロの凹があり、 その凹に細菌が約5個程はいる穴があります。 |
|
![]() |
![]() |
|
| 当院で使うインプラントは、インプラント体すべての表面の凸凹を極限までなくし、細菌が1個も入る ような穴(凹)がありません。従って、細菌がつく穴がないので感染に強いのです。 |
||
![]() |
当院で使うインプラントには、ミクロの凸凹 が一切なし。 |
|
| 従って、喫煙者等で歯ぐきが退縮してインプラントが露出しても、感染に強いのです。 下記は喫煙者のため、自分の歯の部分の歯ぐきもインプラントの部分の歯ぐき退縮。 しかし、インプラントは感染していません。インプラント植立約10年後(喫煙者) |
||
![]() |
歯ぐきが退縮して自分の歯根やインプラント が露出していますが、インプラントに感染はなし。 =タバコは自分の歯やインプラントもダメにします= |
|
![]() |
||