元に戻る
22番の交叉咬合
2024-05-09

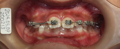
12番が入る空間が出来たので咬合挙上して、21番を前に出すようにする。
2024-05-09

12番の部分が狭いのでバネで大きくする。
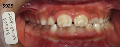
2024年02月03日

咬合をあげてから
約1年3ヶ月後。
2022年10月25日

初診:咬合が低い
乳歯の臼歯にレジンを
のせて咬合を上げる。