元に戻る
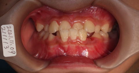
2021/11/09

前歯反対咬合
2021/12/20

臼歯にレジン(樹脂の一種)を乗せて咬合を上げる。
2022/09/12

前歯反対咬合の改善