元に戻る
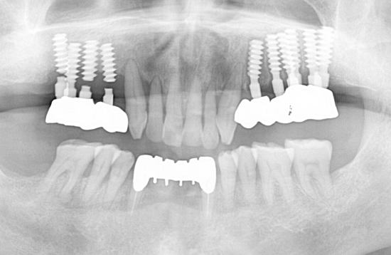
右上インプラント破折。このままインプラントを撤去すると、骨や歯肉の喪失が多くなるので、補綴物だけ外して、垂直+頬舌方向に骨造成を行う。
骨造成を行ってから、インプラントを撤去。骨幅が大きくなっているので、従来のインプラントより直径の太い物を植立して、破折防止。
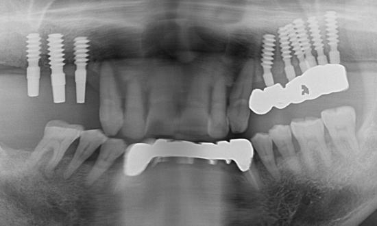
破折したインプラントを除去すると、骨の喪失が大きくなるので、撤去する前に造骨してから撤去すると、その後には、従来のインプラントより直径の大きいインプラントが可能になります。