| 元に戻る | ||
| フッ素(NaF)を利用する事によって、歯の神経を取らないで虫歯治療が出来る場合があります。 歯には神経(血管)があります。この神経(血管)は歯に栄養を与えています。 歯の神経(血管)を取ると歯の寿命が著しく短くなります。 |
||
![]() |
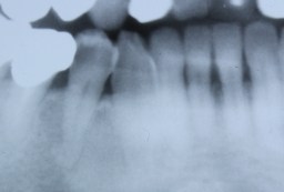
2008年08月18日:初診 44番の隣接面カリエス 主訴:歯がしみる。 下記:同部の拡大 |
|
虫歯(軟化象牙質)が大きく深いので むし歯をすべて除去すると、神経(露髄)する 可能性が大きい。 神経を取らないでいいようにフッ素洗口(NaF) を指示。 目的 第二象牙質の促進と虫歯の回復。 |
||
![]() |
左上のレントゲン写真のイラスト 歯と歯の間の虫歯のため、レントゲンでないと 発見出来ない。 |
|
| フッ素洗口をすると、歯のしみが取れて良好。その後、来院されなくなりました。 | ||
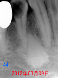
![]() |
それから3年7ヶ月後、歯がかけたと来院。 ←同部のレントゲン写真 虫歯が神経まで進行しているように見えますが、 |
|
| 無麻酔下で完全に虫歯に除去しても 露髄せず、神経が第二象牙質で完全に 覆われています。 |
||
| 神経の部分の酸処理(エッチング)の影響を 避けるため、念のため、覆罩(ふくとう)して |
||
| レジンにて土台(レジンコア)を作り | ||
| 形成して仮歯(テック)を作ります。 |
||
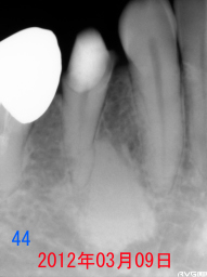
![]() |
上記のレントゲン写真。 神経もとらずに、治療が出来ます。 |
|