元に戻る
2016/08/22

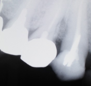
13,14番の隣接面が痛い。
レントゲン像
ポケット測定
短針を挿入した像
かなり深い
FOP(歯肉剥離掻爬術を行う

骨欠損部に骨補填剤を充填
骨補填剤充填後の像
縫合
約3ヶ月後の写真

13番の無髄歯で歯根が変色した部分は歯ぐきと結合していない。

最初の歯ぐきの痛みと腫脹は完全に改善。