元に戻る
FOP
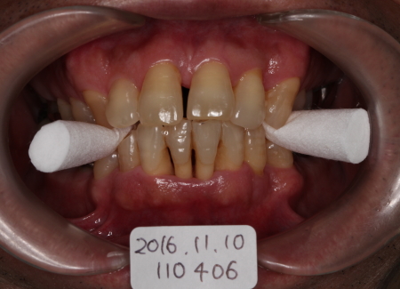
2016-11-10

主訴:歯牙の動揺
FOP
縫合
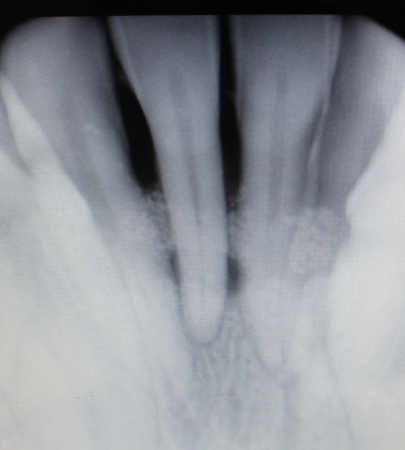
オペ前のレントゲン写真
骨補填剤充填後のレントゲン写真
2016-11-11

FOPの翌日

痛みもほとんどなく歯ぐきの状態も良好