| 元に戻る | |
| 2016年07月22日 14番の歯牙の動揺と排膿と痛みとしみ |
|
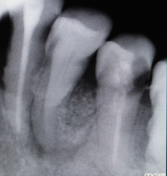
| 2016年07月22日 同部のX-ray 骨の吸収が著しい アクセサリポイントを歯肉溝から挿入すると 根先近くまで入る。 |
|
| 2016年07月22日 同部を切開、剥離 |
|
| 2016年07月22日 不良肉芽除去、根面清掃 骨補填剤の充填等 |
|
| 2016年07月22日 縫合、歯肉が薄かったので、縫合が困難。 糸がほとけないように縫合糸をデンタルシアノ(瞬接)で固定。 |
|
| 2016年07月22日 同部X-ray |
|
| 2016年09月20日 FOP(歯肉剥離掻爬術)の約2カ月後の状態。 同部を外科処置した翌日から痛みも、出血、排膿、腫脹、しみもなくなり予後良好。 ただし、歯間部分(14、15番間)の退縮が認められる。 |
|