元に戻る
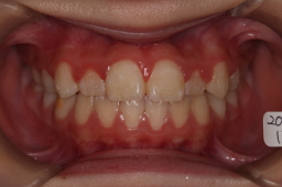
2014年07月29日 初診

上顎前歯の叢生と交叉咬合
2014年09月06日

 歯並びをよくするため矯正を装着して、ある程度よくなったのでワイヤーをはずし様子をみます。
2015年02月21日

少し後戻りがあったので、再度ワイヤーを入れます。
2015年03月23日

予後良好のため、ワイヤをはずし予後観察。
2015年09月14日

後戻りもなく、矯正終了