元に戻る
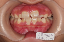
2014年05月24日 初診

上顎前歯の叢生 特に左側側切歯(22番)
2014年07月25日

 歯並びをよくするため矯正を装着。

上顎右は乳歯(側切歯1B)

2014年12月19日

上顎右の乳側切歯が抜け、側切歯(12番)が並ぶ空間(スペース)がないため、その部分に矯正装置を装着する。

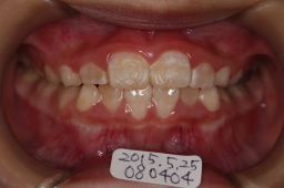
2015年05月25日

予後良好のため、装置をはずし予後観察。
他の永久歯(大人の歯)が生えるのを待っています。