| 元に戻る | |
![]() |
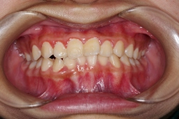
私の娘:掛園 綾です。2002年01月19日生 2007年03月19日(5才2ヶ月) 骨格性反対咬合(C〜C) 矯正用の床装置を作っても寝ると すぐ自然に吐き出す。また床装置を入れると 寝れないと主張。 |
| ↓そこで床装置でない矯正を始めました。 | |
![]() |
2007年 上顎乳臼歯(DE)にレジンで作った歯を接着剤で装着 咬合をあげることによって上顎骨の発達阻害を除去。 |
![]() |
2008年01月29日(6才0ヶ月) 31番(左下切歯)の永久歯がはえてきました。 少し反対咬合 |
![]() |
2008年01月30日(6才0ヶ月) 上顎乳臼歯(DE)にレジンを添加して咬合をあげます。 |
![]() |
2008年04月23日(6才3ヶ月) 41番(右下切歯)がはえてきました。 反対咬合 |
![]() |
2009年01月06日(6才11ヶ月) 上顎乳切歯脱離 32、42番(側切歯)はえてきました。 反対咬合 |
![]() |
2009年01月06日(6才11ヶ月) 反対咬合と低位咬合のため、上顎乳臼歯(DE)に レジン添加して、上顎切歯のスペースを確保 |
| 2009年04月17日(7才2ヶ月) 21番(左上切歯)がはえてきました。 反対咬合 第一大臼歯がまだはえてこない。 (固定源がない) |
|
| 2009年04月17日(7才2ヶ月) 第一大臼歯がまだはえてこない。 (固定源がない) 上顎乳臼歯(DE)にレジンを添加して咬合挙上 |
|
| 2009年07月16日(7才5ヶ月) 第一大臼歯がはえてこない(固定源がない)ので、 リンガルアーチが入れれない。 従って上顎切歯を前方に出すため、乳臼歯(DE)と 上顎切歯にワイヤーを接着剤で上顎切歯を前方に 移動させるように装着 |
|
| 上顎切歯の被害が改善(反対咬合が治った)状態で、ワイヤーをはずす。 ↓その約2年5ヶ月後 |
|
| 2011年12月17日(9才10ヶ月) 右側切歯(12番)が反対咬合 側切歯(12番)の反対咬合を改善するため、 12番が前方移動するようにワイヤーに 力を加えて接着剤でセット |
|
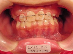
| 2012年02月05日(10才0ヶ月) 上記の約2ヵ月後 12番の反対咬合が改善 現在小臼歯や犬歯が生えるのを待っています。 |
|
| 2012年08月11日(10才7ヶ月) 上記の約6カ月後 装置をはずし、小臼歯や犬歯が伸びてくるのを 待っています。 |
|
| 歯は自然に生えてくるのでそのまま予後観察 上記の約2年6カ月後 綾、中学1年生、後戻りもなく予後良好 矯正終了 |
|
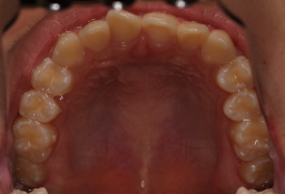
上顎の歯 歯磨きはあんまりしないので、軽度の歯周炎が ありますが、 フッ素塗布とフッ素飲料とシーラントでむし歯ゼロです。 2015年04月現在 |
|
| 下顎の歯 歯磨きはあんまりしないので、軽度の歯周炎が ありますが、 フッ素塗布とフッ素飲料とシーラントでむし歯ゼロです。 2015年04月現在 |
|
| 幼稚園の時から始めた矯正が、永久歯が 全部生えそろって中学生になりました。 右が長女の綾、左が次女の舞 |
|
| 2017年04月、高校一年生と中学2年生になりましたが、予後良好でむし歯も一本もありません。 歯も1本も削っていません。 この写真を撮るまで9年かかりました。 タイトル 「小学→中学→高校→そして未来に」 |
|
![]() |
|