元に戻る
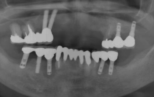
他医院でのインプラント症例 2013年
他の歯科医院で2種類のインプラントが植立してありますが、
表面がそぞうであるインプラントは、感染して骨の吸収が著しく
表面が滑沢なインプラントは感染していない。