元に戻る
2012年03月15日

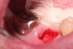
右下(46番)根破切

カルテ番号120106
同日抜歯、抜歯窩に唾液が入らないよう
に滅菌ガーゼをおきます。
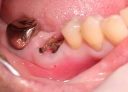
    ↓抜歯した歯

遠心に5ミリ、近心に4ミリの
インプラントを植立
創面をラバーダムで覆い、テック(仮歯)を
装着