元に戻る
上顎は1本も歯がない状態
下顎も歯槽膿漏(しそうのうろう)でぐらぐらの状態です。
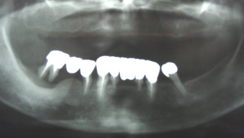
上顎にインプラント(人工歯根)を植えました。
右奥の歯は歯槽膿漏がひどいので抜きました。
抜いた部分の骨が回復するのを待ってから下の奥歯にもインプラントを植えました。

現在、肉でも野菜でも何でもおいしく噛めるそうです。