元に戻る
解説

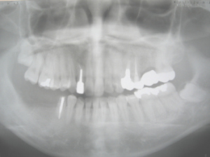
他歯科医院で右下の奥歯を1本抜歯。
前後の歯を削ってかぶせ物。
抜いた部分の歯の負担がかぶせた奥歯にかかり、
歯が割れて痛いと言って当院に来院。

47番が歯根破折
1998/12/03
割れて痛い歯を抜歯。
1999/05/13
右下にインプラントを植立
1999/06/01


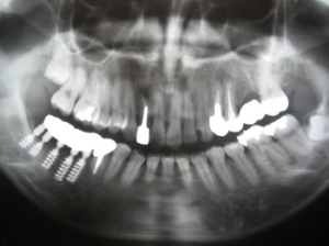
2003/10/30の現状