元に戻る
前歯の歯と歯の隙間を埋める方法
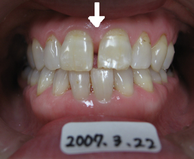
矢印の部分の隙間が気になる。

しかし歯は削りたくない。
そしてすぐ終わるのなら治療したい。
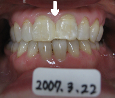
歯と歯の間にプラスチックを流し込んで約10分で治療終了。
歯は一切削っていません。

2012年08月11日現在、変色もなく良好。