|
|||||
![]() |
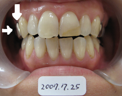
笑った時、金属の歯が見えて気になるので、簡単に白く出来るならしたと希望。 遠方(車で2時間)なので通院は無理。 今回も時間がない。 |
||||
![]() |
正面から見た写真。 金属の表面に白いプラスチックを貼り付ける前の写真(白い矢印の歯) |
||||
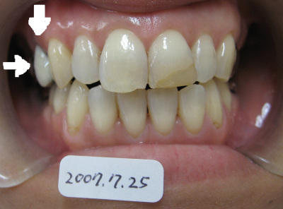
![]() |
金属の表面に白いプラスチックを貼り付けた状態(所要時間約5分) 今回は金属を一切削らずにプラスチックを貼り付けています。金属を削ると厚みが取れるのでもっときれいな歯の色にする事が可能です。 |
||||
![]() |
今回は1本だけ歯を白くしてこの状態でプラスチックが剥がれないかどうか様子を見ています。 2008年04月11日現在大丈夫です。 次回来院時、他の金属の歯も白くする予定です。 *患者は私の姉です。 |
||||