| 元に戻る | ||
|
||
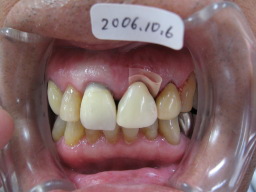
| 左上顎前歯(21)の歯の根が割れて歯ぐきが 腫れ痛みが生じています。 |
||
| かぶせ物(補綴物)をはずすと根が割れているの がわかります。 |
||
| 抜いた歯とそのかぶせ物です。 | ||
| 抜いた所をよく洗浄してから、 インプラント(人工歯根)を植えます。 |
||
| インプラント(人工歯根)を植えた所に 仮歯(テック)を作り、手術の終わりです。 骨が固まるまで数ヶ月待ち、それから、 はずした歯(補綴物)が入ればそれを 入れます。 歯の周りにあるのは、ゴムで、血(血餅)が流れ 出ないようにしています。こうする事によって、 きれいな歯ぐきが再生されます。 |
||
![]() |
インプラント(人工歯根)をする事によって、 隣の歯を削らないで済むので、歯を傷めません。 むし歯は歯を削った境目から出来やすいので、 インプラントは、これも防ぐ事が出来ます。 |
|
| インプラントして1週間後の状態です。 歯ぐきの傷はほとんど治っています。 仮歯(テック)の状態で、半年程待ちます。 |
||